Con la llegada del verano muchas personas tienden a sufrir fascitis plantar y en muchos casos se debe a pasar muchas horas descalzos o con “calzado minimalista” (chanclas o sandalias).
En muchos ámbitos y prensa se habla de los problemas que puede generar utilizar este tipo de calzado (articulo, articulo, articulo). A pesar de que la gran mayoría de la gente tiene la opinión de que es un calzado cómodo, al utilizarlas pensamos que estamos haciendo algo malo debido básicamente a 4 puntos:
- Inestabilidad y posibilidad de esguinces
- Aumento de posibilidad de sufrir fascitis plantar y sobrecargas en gemelos
- “Dedos en garra” y excesiva tensión de los flexores plantares para evitar perder el calzado en la fase de vuelo
- Modificaciones del patrón de la marcha reduciendo la longitud del paso que incluso pueden provocar problemas en rodillas o lumbares
Las recomendaciones para evitar estos problemas suelen ser utilizarlas lo mínimo posible o al menos tratar de utilizar unas sandalias “personalizadas” que tengan cierto drop y sujeten el pie sin alterar el patrón de la marcha.
¿QUE DICE LA CIENCIA SOBRE EL USO DE ESTE CALZADO?
Existen varios estudios que rechazan el uso de las chanclas, aunque no son concluyentes y sus argumentos un poco limitados. Este estudio es un buen ejemplo, ya que afirma que hay cambios en el patrón de la marcha si lo hacemos descalzo o con sandalias y hacerlo puede ser un problema ya que no es común caminar descalzo a diario. Otro estudio compara múltiples variables biomecánicas, indicando que la utilización de chanclas aumenta la flexión de rodilla y la dorsiflexión del pie y que esto puede aumentar el riesgo de tropezar en terreno irregular
Curiosamente uno de los mayores expertos mundiales en biomecánica, Benno Nigg, se pregunto si había algún fundamento científico para que el calzado ayudara a mejorar la marcha/carrera y reducir sus lesiones. En este fantástico estudio llego a varias conclusiones:
- El giro natural del pie hacia adentro (ligera pronación) no es un problema y no debe ser corregido ni con plantillas ni con zapatillas especiales. En otra investigación realizada sobre 927 corredores noveles (estudio) se pudo comprobar que los que no realizaban esta moderada pronación sufrían más lesiones, ya fuera por supinación, realizar una excesiva pronación (la que más lesiones provocaba) o incluso neutral.

- La comodidad es un factor importantísimo, un corredor debe seleccionar el calzado que le resulte mas confortable y eso implicará permanecer en la trayectoria de movimiento preferido. En un interesante estudio sobre 206 militares a los que ofrecían 6 tipos diferentes de plantillas a escoger y otro grupo utilizando calzado estándar, se pudo comprobar que tras cuatro meses los que habían elegido se sentían más cómodos y tenían menos lesiones. Incluso otro estudio muestra que la elección entre 5 zapatillas diferentes pero muy similares, ofrecía ventajas de una media de un 0,7% en el consumo de oxígeno al correr con las más confortables.
Si hacemos caso al Dr. Nigg y nos sentimos cómodos caminando con sandalias/chanclas muy posiblemente no tengamos problemas. Otra cosa es que las utilicemos por estética y no sean confortables, ya que en ese caso si puede suponer un riesgo de lesiones.
¿ES PELIGROSO CAMINAR DESCALZO?
Cómo en casi todas las cosas no hay blanco ni negro, y mientras para algunos si puede ser peligroso, para otro tipo de personas pasar tiempo descalzos o con calzado minimalista es algo habitual y tiene enormes beneficios. Por ejemplo, sería algo parecido a tomar el sol. Si pasamos todo el año metidos en una oficina sin recibir el sol y de repente nos vamos una semana a la playa pasando muchas horas seguidas sin protección, tendremos problemas en la piel. En el entrenamiento puede pasar algo parecido, correr durante 1h puede suponer un pequeño estímulo para un maratoniano, pero para una persona sedentaria supondrá una carga excesiva y ocasionará como poco unas agujetas tremendas.
Uno de los aspectos mas importantes en esta decisión es el peso, ya que según este articulo el aumento de peso corporal incrementa las tensiones aplicadas en el pie y puede producir alteraciones en su estructura.
Pero sea quien sea que quiera practicar el minimalismo y sobre todo el barefoot, necesitará una preparación, mediante un proceso progresivo de adaptación. El pie es una estructura muy compleja con funciones tan importantes como: servir de soporte para la posición bípeda, constituir un elemento de gran importancia para el equilibrio y los movimientos en bipedestación. Para conseguirlo es necesario un complejo sistema que debe asociar con armonía los elementos osteoarticulares, ligamentosos y musculares del pie consiguiendo un movimiento sobre tres ejes. Por eso hay una carrera universitaria sanitaria que se dedica en exclusiva a él, la podología.
Las nuevas tendencias en intervenciones para problemas relacionados con el pie se dirigen a entrenar al pie para la función que esta diseñado, no para apoyar externamente a corregir problemas.
En este estudio se relaciona la fuerza y estabilidad del pie con la del tan famoso CORE y su relación con la salud. Un pie más fuerte es un pie más sano y aunque durante una fase aguda de lesión puede ser necesario un apoyo externo (plantillas o correcciones), debe remplazarse lo antes posible por un programa de fortalecimiento.

Precisamente un reconocido podólogo y apasionado de la carrera, Nick Campiteli, es el autor de algunos interesantes artículos mostrando la importancia del fortalecimiento del pie para conseguir la funcionalidad natural para la que está diseñada. En un inicio este doctor recurría a plantillas ortopédicas a medida para corregir los problemas de sus pacientes, pero ahora gran parte de su trabajo esta dedicado a reducar a sus pacientes recuperando la fuerza y funcionalidad del pie. Curiosamente el calzado minimalista supone una de sus mejores herramientas.
Según el Dr Campitelli este tipo de calzado implica una ganancia de fuerza, destacando la mejora en el dedo gordo, que poco después pasa a ser estructural. Pero este proceso siempre será lento y es necesario armarse de paciencia.
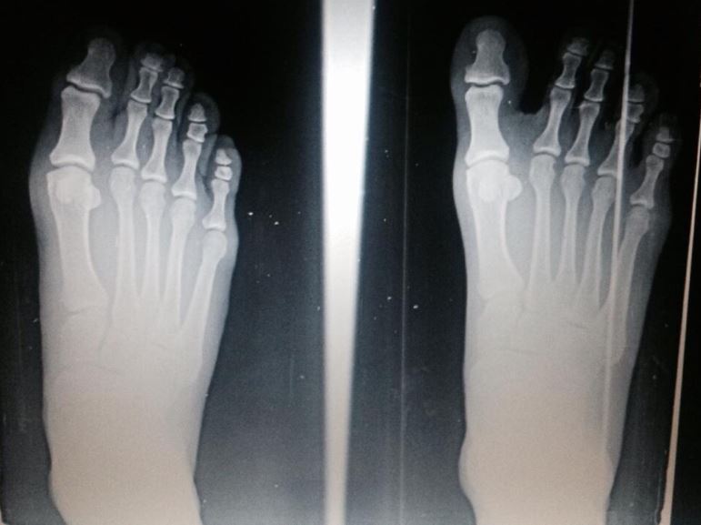
En este primer ejemplo se puede apreciar mediante radiografías estos cambios tras dos años de un adecuado uso de este calzado (articulo). La mejora en la alineación de los dedos es impresionante y uno de los grandes problemas a largo plazo en corredores.

En un segundo articulo podemos ver cambios más profundos con un ejemplo real de un paciente con pies planos, un marcado valgo de tobillo y rodilla que implicaban dolor en rodillas y espalda baja a pesar de utilizar plantillas individualizadas. El protocolo del doctor fue eliminar de manera gradual las plantillas durante los entrenamientos (realizando la primera parte sin plantillas y la final con ellas). A continuación, comienzo de uso de calzado minimalista sin superar en ningún momento el 10% de incremento de kms semanales y siempre comenzando el entrenamiento con este calzado y pasando después al convencional.
Según el Dr. Campitelli el calzado minimalista es una herramienta ideal para fortalecer y realizar una reconducción postural como puede verse en estas imágenes.

En este caso el fortalecimiento del tibial posterior y flexores de los dedos supone una tremenda ayuda, que también puede fomentarse mediante ejercicios específicos y muy recomendados para cualquier corredor. En este enlace puedes ver algunos muy interesantes https://www.youtube.com/watch?v=7xYhLJEVWbs
RESUMEN:
- El calzado minimalista (chanclas, sandalias, etc.) no deben suponer un problema para la salud, sino todo lo contrario ya que permite fortalecer y corregir la postura del pie, permitiendo eliminar muchos problemas podológicos en el futuro
- Es fundamental que el calzado que elijamos, zapatillas minimalistas técnicas, sandalias o chanclas, nos resulte cómodo sin influencias estéticas, eso significará que minimizará el riesgo de lesiones
- Si decidimos entrenar con calzado minimalista o incluso barefoot, debemos llevar a cabo una adaptación muy lenta y progresiva que puede llevar muchos meses de trabajo. He visto muchos casos de fracaso y todos ellos por impaciencia
- Tener un pie fuerte ayudará a ser mejores corredores y como ya vimos en otra entrada a evitar muchas de las típicas lesiones
- Si se acerca el verano y nos gusta utilizar chanclas o sandalias, debemos anticiparnos unas semanas y al menos movernos en casa con este calzado incrementando poco a poco los pasos realizados para estar preparados y que su uso no suponga una sobrecarga con problemas como “fascitis plantar”